忍者ブログ

カブ110と時々ワンコ、CB125JXもあるでよ。

安全運転がモットーなおじさんです、カブ110を148ccに、CB125JXを194ccにして走り回っております。 ワンコネタは里親として迎えたトイプーのまつり、チワワのモカ。 2匹ののんびりライフを書いていこうかと。 ペットショップで仔犬を買う前に里親になる選択肢もありますよ、是非御一考を!

[PR]

×

[PR]上記の広告は3ヶ月以上新規記事投稿のないブログに表示されています。新しい記事を書く事で広告が消えます。

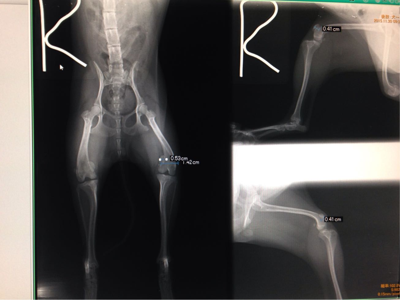
パテラ、リハビリスタート。



1月7日にパテラ手術を受けたモカちゃん、
今日で6日目、ギブス交換に病院へ行って来ました。

するとなんと今日からギブス無しのテーピングのみに(^^)

関節を動かせるのでリハビリもスタートです。



ギブスを外した瞬間に歩いてます(汗)

おそらく体重が規格外に軽く膝への負担が凄く少ないからかな、
後の散歩では走り出しましたがさすがに歩かせました。

リハビリでは大腿四頭筋とハムストリングのストレッチをするように言われました、
これで良いのだろうか?

日曜日の抜糸が待ち遠しいです、リハビリ指導も更に受けてきます。

上手くお皿が膝に乗ってくれていると良いんですが、
まだ右足が残っていますしね。

モカちゃん頑張るぞ!

にほんブログ村 犬ブログ チワワへ
にほんブログ村
PR

プロフィール

HN:
マサタケ
性別:
男性
職業:
会社員
趣味:
ミニバイク

カレンダー

01 2026/02 03
S M T W T F S
1 2 3 4 5 6 7
8 9 10 11 12 13 14
15 16 17 18 19 20 21
22 23 24 25 26 27 28

フリーエリア

最新コメント

[10/13 ジョージア]
[09/05 マサタケ]
[09/05 じ~じ]
[08/19 マサタケ]
[08/19 ジョージア]

バーコード

ブログ内検索

P R

フリーエリア

忍者アナライズ

忍者カウンター