忍者ブログ

カブ110と時々ワンコ、CB125JXもあるでよ。

安全運転がモットーなおじさんです、カブ110を148ccに、CB125JXを194ccにして走り回っております。 ワンコネタは里親として迎えたトイプーのまつり、チワワのモカ。 2匹ののんびりライフを書いていこうかと。 ペットショップで仔犬を買う前に里親になる選択肢もありますよ、是非御一考を!

[PR]

×

[PR]上記の広告は3ヶ月以上新規記事投稿のないブログに表示されています。新しい記事を書く事で広告が消えます。

モカちゃんパテラ手術(グロ注意)



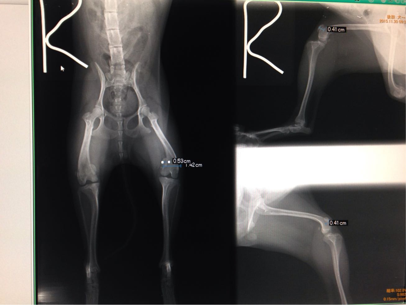
今日はモカちゃんのパテラ手術。



お皿が左右共膝に乗っていません。

今は元気に走れていますが将来的には不安、
ずっと元気でいられるように手術を受けることにしました。



先生に術前説明を受けます。

問題はモカちゃんの小ささ、体重は1.4キロ膝の骨は14ミリ。
ここに5ミリのお皿を乗せる手術を行うのです、膝下の骨の加工と筋肉のバランス修正も同時に行います。



膝の軟骨をめくり骨を削ります、
軟骨をそこに被せます、
ひざ下の骨を真っ直ぐに修正し、
皿の下にピンを打ち込みズレを防止、
皿が内に落ちるのを防ぐために外側の筋肉を縮めて終了。

文章にすれば簡単ですが難しい手術だと思います。

そして膝が小さ過ぎお皿はしっかりと溝にはまっていません、
再度の手術が必要かもしれませんね。



術後のモカちゃんに面会。

やはりぐったりです、1度起きようとしましたが疲れからかすぐに眠ってしまいました。

今後様子をみて退院リハビリ、
上手くいけば次は右足です。

モカちゃん頑張ろうね!

にほんブログ村 犬ブログ チワワへ
にほんブログ村
PR

プロフィール

HN:
マサタケ
性別:
男性
職業:
会社員
趣味:
ミニバイク

カレンダー

04 2026/05 06
S M T W T F S
1 2
3 4 5 6 7 8 9
10 11 12 13 14 15 16
17 18 19 20 21 22 23
24 25 26 27 28 29 30
31

フリーエリア

最新コメント

[10/13 ジョージア]
[09/05 マサタケ]
[09/05 じ~じ]
[08/19 マサタケ]
[08/19 ジョージア]

バーコード

ブログ内検索

P R

フリーエリア

忍者アナライズ

忍者カウンター